LƯƠNG Y NGUYỄN VĂN LAI CHỦ TỊCH CHI HỘI NAM Y TỈNH ĐỒNG NAI hỗ trợ chăm sóc sức khỏe cho bệnh nhân bị u phổi.
Liên hệ từ người nhà bệnh nhân vào ngày 05/7/2022:
“Thầy còn nhớ ca bệnh năm ngoái chữa viêm phổi cho vợ em không? Thầy chữa 2 tuần liên tục đỡ rồi vợ em về không phải uống thuốc và sinh được bé nhà em. Giờ có biểu hiện lại vợ em đi khám thì có khối u trong phổi. Nên em không thực hiện mổ theo lời bác sĩ nữa mà em muốn nhờ thầy chữa tiếp ạ. Chữa bằng Năng lượng sinh học 2 tháng sau thì chụp X quang lại và CT lại cho kết quả. Chụp X quang thẳng không thấy tổn thương nữa, xong bác sỹ nói chụp nghiêng cho rõ hơn cũng không còn tổn thương. Rồi em yêu cầu chụp CT cho chắc thì kết quả là không thấy khối u nữa ạ. Dạ em cảm ơn thầy nhiều nhiều nhé”
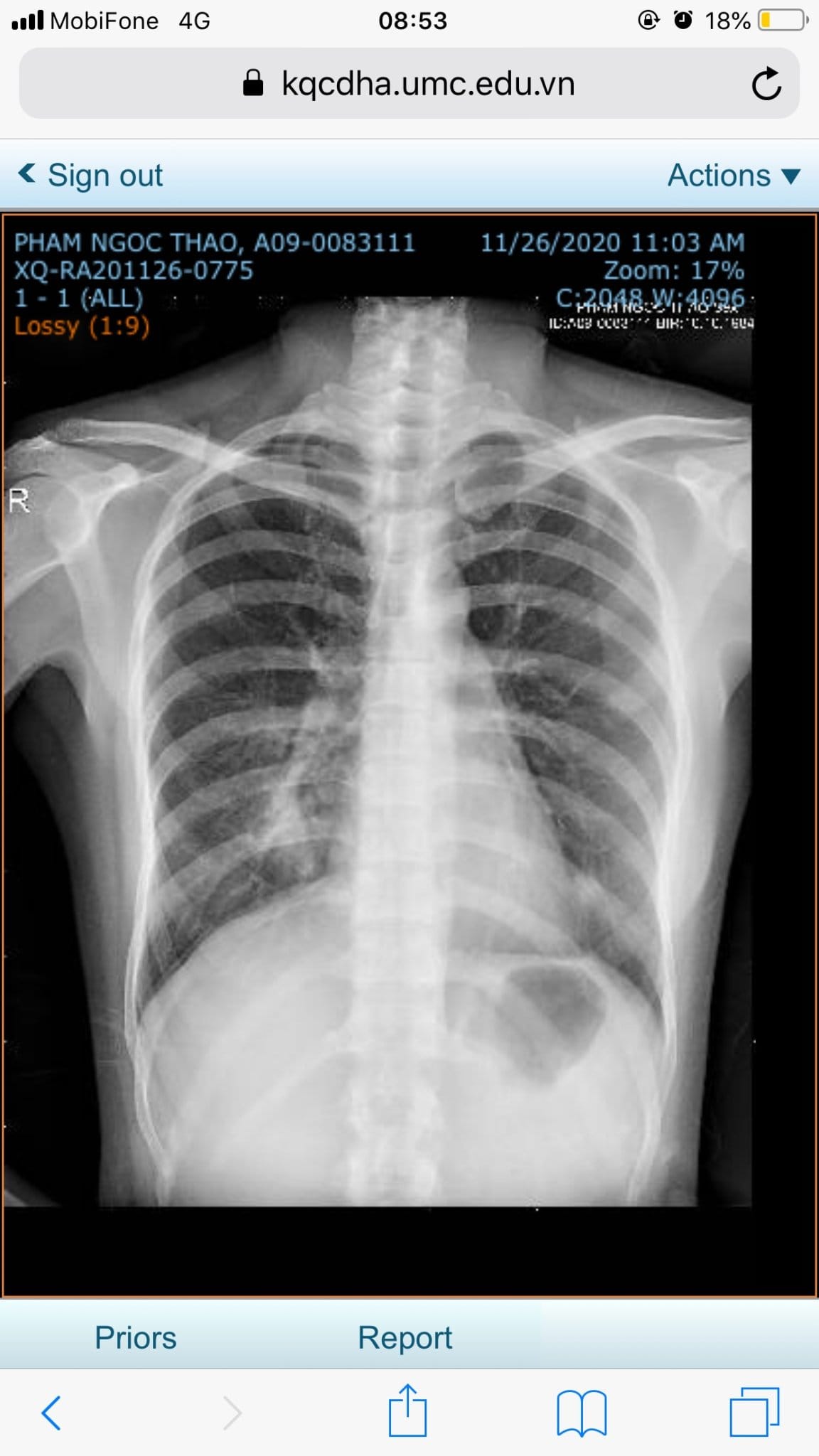
Kết quả X quang của bệnh nhân trước khi chăm sóc sức khỏe bằng Năng lượng sinh học vào ngày 26/11/2020

Kết quả X quang và CT sau khi chăm sóc sức khỏe bằng Năng lượng sinh học vào ngày 30/6/2022






Nếu cần sự hỗ trợ các phương pháp chăm sóc sức khỏe bằng năng lượng sinh học, bạn có thể liên hệ:
Lương y Nguyễn Văn Lai – Chủ tịch Chi hội Nam y tỉnh Đồng Nai
Số điện thoại: 0903118768







Để lại một bình luận